Six Month Smiles in Orpington

Call today Call Today
01689 821 217
Call today Call Today
01689 821 217
Address Orchard Green Dental Practice
9 Crofton Road, Orpington, Kent BR6 8AE

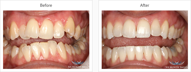
Cosmetic Dentistry Six Month Smiles

6-month-smile

Six Month Smiles has taken the best aspects of braces and modified the treatment and the materials to give adults a common-sense, cosmetic solution that fits your lifestyle. Here is what makes 6 Month Smiles so innovative....

Here is what makes 6 Month Smiles so innovative...

  • •   Average treatment times of only six months
  • •   Six Month Smiles Lucid-Lok™ clear brackets and tooth-colored wires are barely visible
  • •   Use of braces has shown to provide the most conservative and predictable final result
  • •   Six Month Smiles Patient Tray Kits™ ensure that your appointments are fast and comfortable
  • •   Low forces and short overall treatment times increase comfort, safety, and hygiene
  • •   Six Month Smiles is typically less expensive than traditional braces, aligner therapy, or veneers

Six Months Smiles

Case : 1

case-img

Case : 2

case-img

Case : 3

case-img

Case : 4

case-img

Case : 5

case-img

Case : 6

case-img

Case : 7

case-img

Case : 8

case-img

Case : 9

case-img

Case : 10

case-img

Case : 11

case-img

Case : 12

case-img

Case : 13

case-img

Case : 14

case-img

Case : 15

case-img

Case : 16

case-img

Case : 17

case-img

Q: What is 6 Month Smiles

  • 6 Month Smiles™ braces are clear
  • Wires are usually tooth-coloured and very small
  • Treatment times usually fall within 4-9 months
  • Discomfort is minimal as teeth are gently repositioned
  • Cost is usually less than traditional braces

Q: How can teeth be straightened in only 6 months?

A:  The 6 Month Smiles™ technique employs the latest technology and techniques in dentistry to move your teeth quickly and safely using a brace that is attached to your teeth. The key components of the treatment are the use of special nickel titanium wires and a primary focus of moving the teeth that show when you smile.

Q: 6 months sounds good, but will I still have a mouth full of metal for the whole time?

A:  No! 6 Month Smiles™ dentists use tooth-coloured braces that are barely visible. The wires are usually tooth-coloured as well. These are nothing like metal braces!

Q: How are 6 Month Smiles™ more comfortable than regular braces?

A:  6 Month Smiles™ use low force to move teeth more comfortably. Many people think that the accelerated treatment means simply "tightening" regular braces to get the teeth moving, but that is not true. 6 Month Smiles™ utilizes standard orthodontic mechanics, but with an emphasis on the cosmetic appearance of your teeth rather than the position of your bite.

Q: Do 6 Month Smiles™ braces damage the teeth, roots, or gums?

A:  There are no more risks of root damage or other issues than those associated with traditional orthodontics. Since the forces used with 6 Month Smiles™ braces are lighter and teeth are seldom extracted, there are actually even fewer risks involved with 6 Month Smiles™ orthodontics.

Q: Will I have to wear a retainer?

A:  Yes, as with any teeth-straightening treatment a retainer is necessary to maintain the straighter position of your teeth. If you don't want to wear a removable retainer, you can have a bonded retainer placed. There are a variety of options that you can choose from according to your personal preference and situation.

Q: Would I be suitable?

A:  If you are an adult (15 years and older) with crooked or spaced teeth and you're not looking for a major alteration to your bite, this could be the solution for you! Most adults ARE candidates for 6 Month Smiles.


Back to Treatments